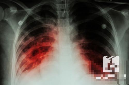
有的时候人们如果是感觉到自己右边肺部隐隐作痛就要多注意休息,如果是劳累过度也是很容易导致自己出现这方面的问题,而且还会伴随着一些咳嗽的症状表现,那么就应该要格外的去关注自己的身体变化,很多时候如果是自己出现了感冒的情况也是有可能会导致肺部疼痛的情况发生。

肺气亏虚
1.主要脉症声音低怯,倦怠懒言,面色少华,极易感冒,恶风形寒,或有自汗,若咳嗽则咳而无力,痰多清稀,舌淡苔白,脉虚弱。
2.证候特征本证以肺气不足和卫气不固的见症为主,此外,尚有一般的气虚见症。
本证与阴津亏耗证的鉴别是:本证为肺气不足和卫外功能减退,而表现为短气、自汗、畏风、易感冒等症;彼为肺之阴津亏耗,而表现为阴津不足和有热象,如干咳少痰、潮热盗汗等症。

肺阴亏耗
1.主要脉症干咳少痰,或痰中带血,声音嘶哑,午后颧红,潮热盗汗,形体消瘦,舌质红,苔少,脉细数。
2.证候特征本证以肺虚气失宣肃、津亏不润及阴虚生热的见症为临床特征。
肺脏阴津亏耗证与燥邪犯肺证的鉴别是:本证为肺脏自病,以阴津亏虚为主症,如干咳少痰、潮热盗汗等;而燥邪犯肺证,以外感燥邪为主,虽亦有肺失清润,干咳少痰,咽喉干燥,但伴有外感表证。
寒邪犯肺
1.主要脉症咳嗽痰稀薄,鼻塞流清涕,恶寒发热,头身痛楚,无汗,苔薄白,脉浮紧。
2.证候特征本证除有寒邪束肺,肺气失宣的证候外,尚有恶寒发热等风寒表证。
本证与寒饮内阻证的鉴别是:本证为外感寒邪,肺气失宣,故表现为咳嗽痰稀薄,恶寒发热等;而寒饮内阻证则为饮邪碍肺,肺失宣降,故以咳嗽气急,痰白如沫如涎而量多等症为主要表现,而无外感表证。

邪热乘肺
1.主要脉症咳嗽,痰黄或黄白相兼,痰不甚粘稠,痰量一般不多,或有鼻塞流黄涕,或恶风身热,咽喉疼痛,苔薄黄,脉浮数。·2.证候特征本证除有邪热阻肺,肺失清肃的证候外,尚有恶风身热,咽喉疼痛,苔薄黄,脉浮数。
本证与痰热蕴肺证的鉴别是:本证兼具肺失宣肃与风热表证;而痰热蕴肺证则为痰浊化热或热邪灼津为痰,痰与热壅塞于肺,肺失宣肃证,故以咳嗽痰多痰黄,或痰鸣或痰中带脓血等为主要表现,一般无外感表证。
相关推荐: